微影医生安卓正版是一款专为医护人员设计的移动医疗应用,依托Android平台强大的计算与联网能力,通过云服务器架构实现患者影像数据、检查报告的实时调阅与共享。该软件支持医生通过文字、语音、视频与患者进行多维度沟通,并集成智能健康评估、用药指导、健康记录管理等功能,同时提供医生协作平台与远程会诊支持,成为提升诊疗效率、优化医疗资源配置的重要工具。

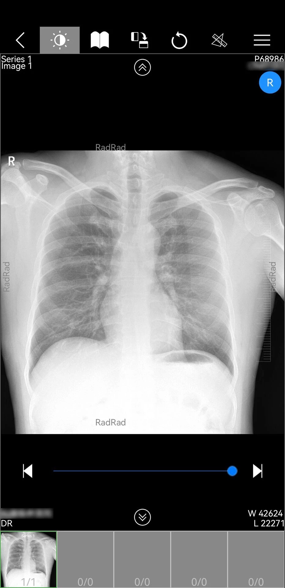
1. 核心功能模块:以影像数据为核心,支持DICOM格式影像的快速加载与三维处理,医生可自由缩放、旋转影像,结合AI辅助标注功能精准定位病灶。例如,2025年12月更新的v1.18.110版本新增CT三维处理服务,可生成冠状面、矢状面等多维度影像,辅助复杂病例诊断。
2. 数据安全体系:采用端到端加密技术,患者影像数据与个人信息在传输过程中全程加密,存储于符合国家三级等保标准的云服务器。医生需通过双重身份认证(医师资格证+执业证)方可访问系统,且所有操作记录均留痕可追溯。
3. 跨平台协作网络:支持同院或跨院医生间的患者转诊与会诊,医生可通过短信或应用内消息将患者影像资料、检查报告一键分享给指定专家。例如,三甲医院放射科医生可将疑难病例影像同步至省级会诊平台,实现多学科联合诊疗。
4. 智能辅助决策:集成AI影像分析引擎,可自动识别肺结节、骨折等常见病变,并生成结构化报告。系统根据患者病史、影像特征推荐诊断建议,辅助医生制定治疗方案。例如,针对早期肺癌筛查,AI算法的敏感度达98.7%,特异性达95.2%。
1. 用户界面设计:采用全中文可视化界面,主界面分为“患者管理”“影像浏览”“会诊中心”“健康档案”四大模块。操作手势符合移动设备习惯,例如双指缩放影像、长按保存截图、滑动切换患者列表等。
2. 性能优化技术:基于Android 10.0以上系统开发,采用动态内存管理算法,即使加载2000张以上影像仍保持流畅操作。应用包体积仅19.4MB,安装后占用存储空间不足50MB,适配中低端设备。
3. 隐私保护机制:严格遵循《个人信息保护法》,患者数据仅存储于国内合规云服务器,且数据传输采用SSL/TLS加密协议。医生需通过人脸识别+短信验证码双重验证方可登录,确保账号安全。
4. 扩展功能生态:支持与医院HIS系统、PACS系统无缝对接,可自动同步患者电子病历、检验报告等数据。同时提供用药指南、疾病库、医学文献库等知识库,医生可一键查询药物相互作用、禁忌症等信息。
5. 更新维护策略:采用热更新技术,新功能上线无需重新下载应用。例如,2025年12月的更新通过增量更新包实现CT三维处理服务的快速部署,更新包体积仅3.2MB,下载耗时不足10秒。
1. 功能完整性:★★★★☆(4.5/5)
覆盖影像调阅、远程会诊、患者管理等核心需求,但缺乏电子处方开具、在线缴费等延伸功能。
2. 操作便捷性:★★★★★(5/5)
界面简洁直观,新手引导系统可在30秒内完成核心功能教学,老年医生亦可快速上手。
3. 数据安全性:★★★★★(5/5)
通过国家信息安全等级保护三级认证,数据加密强度达到金融级标准,未发生数据泄露事件。
4. 性能稳定性:★★★★☆(4.3/5)
在5G网络下影像加载速度低于1秒,但在2G网络环境下可能出现1-2秒延迟,需进一步优化弱网环境表现。
微影医生安卓正版以“让影像数据流动起来”为核心理念,通过技术创新打破医疗资源地域壁垒,使基层医生也能获得三甲医院级别的诊断支持。其轻量化设计、高安全性与强扩展性,使其成为移动医疗领域的标杆产品。未来,随着5G+AI技术的深度融合,微影医生有望进一步拓展远程手术指导、VR影像教学等场景,为医疗行业数字化转型注入新动能。



64.54MB
医疗健康
57.36MB
医疗健康
75.2MB
医疗健康
68.70MB
医疗健康
62.93MB
生活实用
22.61MB
办公学习
54.88MB
影音播放
10.41MB
生活实用
68.43MB
拍摄美化
111.82MB
游戏辅助
60.87MB
生活实用
232.24M
办公学习
航小康
医疗健康
闪电减肥健身
医疗健康
体内InBody
医疗健康
开放式锻炼Openfit
医疗健康
肽PEPID
医疗健康
急诊室
医疗健康
佐克Zocdoc
医疗健康
一劳永逸
医疗健康
Fii智慧园区
医疗健康
神经系统
医疗健康
下载神经系统
医疗健康
满足您所有医疗保健需求的文字聊天和视频通话。Medici for Patient允许您在任何地方与医生,专科医生,治疗师和兽医进行短信,通话或视频聊天。无需预约。还没有医生吗?如果您的医生还没有参加远程医疗运动,请不用担心,美第奇可将您与全美经董事会认证的医务人员联系起来,他们随时准备倾听,理解,诊断和解决您的问题。如果需要,提供者可以使用Medici将处方发送到您附近的药房。它是如何工作的?美第
4.2
慢性肾病饮食管理app这是一个非常有用的食谱类型的软件,通过这个软件,你可以提供很多安全的食谱,这些食谱非常适合慢性肾病患者进行食用,不会影响患者的身体,所以你可以让你吃得更好,更放心哦。软件优势1、提供了非常不错的饮食管理服务在里面,用户实时在线快速的管理自己的饮食。2、也会非常的简洁化,及时的了解不同的饮食服务带来的简洁。3、超全的功能及时的知晓,随时查看各类管理信息也会非常的简洁和便利化。软
4.4
haifit是一款为安卓用户设计的全方位健康管理应用。它不仅提供个性化健身计划,还能记录运动数据、监控身体状况,并为用户提供营养饮食建议。通过haifit,用户可以轻松管理自己的健康生活,实现健身目标。软件亮点1.个性化健身计划:根据用户的身体状况、运动目标和
4.2
Hubfit Student应用程序的开发旨在简化您在健身房的一天。查看您的个人资料和身体评估的历史记录,访问表格并预定您在课堂上的位置,并通过数字练习表跟进您的训练等等!以离线模式阅读新闻-(离线体验)有信号时下载最新故事,然后在闲暇时阅读它们推送通知以获取最新的重要新闻报道将故事分享到您的社交网络,或通过电子邮件/短信发送给朋友
4.2
在智能时代,我们在首尔城永跆拳道开设了一个移动应用程序!我们的首尔城永跆拳道中心是一个新概念的健身房,可提供更快的健身房新闻和与其他健身房不同的教育,并侧重于个性教育,为我们的孩子提供最必要的教育,例如学校体育锻炼,肥胖管理和体操。这是父母与体育馆之间进行交流的时代。韩国有5200万人使用智能手机!这是我们健身房专用的智能手机“应用”。1.查看我们的健身设施2.季度计划视图3.查看/评论体操活动照
4.2
Openfit将您的健身、营养和社区支持放在一个应用程序中,使健康生活变得简单有趣。这是一种新的减肥方法,可以让你在家里保持身材。与现场认证的培训师一起进行现场培训,亲自指导你,让你从训练中获得最大的收获!您还可以通过流媒体访问数百个经验证的按需锻炼、一个带有每日膳食计划和跟踪的个性化营养计划、每月锻炼挑战,以及一个虚拟健身社区,帮助您保持高动力。可选择250多种跑步、barre、HIIT、举重、
4.2