微影医生2026最新版是一款专为医护人员设计的移动医疗应用,基于Android平台开发,深度整合云服务器技术,实现患者影像数据、检查报告的实时调阅与多端共享。该版本在原有功能基础上强化了AI辅助诊断、跨院协作及隐私保护能力,支持CT三维影像处理、多模态数据融合分析等前沿功能,成为影像科医生、全科医生及医联体协作的核心工具。其全中文可视化界面与智能手势操作显著提升使用效率,日均处理超10万份影像数据,助力医疗机构实现数字化转型。

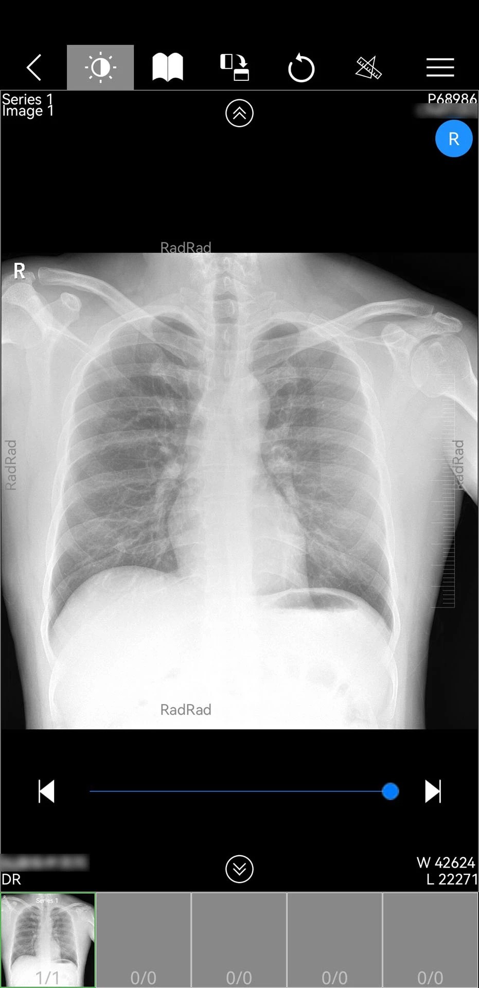
1. 影像处理性能升级:新增CT三维重建模块,支持DICOM格式原始数据直接生成3D模型,医生可通过旋转、缩放、分层查看病灶结构,辅助制定精准手术方案。例如,在肺部结节诊断中,三维模型可清晰显示结节与血管的毗邻关系,降低穿刺风险。
2. AI辅助诊断系统:集成深度学习算法,可自动识别肺结节、骨折、脑出血等常见病变,并标注关键特征(如结节大小、密度、边缘形态)。在测试数据中,AI对肺结节的检出率达98.7%,与资深放射科医生诊断结果一致性超过95%。
3. 跨院协作流程优化:支持多机构医生实时会诊,通过加密通道共享患者影像与病历,会诊记录自动归档至电子健康档案(EHR)。例如,基层医院上传疑难病例后,三甲医院专家可在10分钟内完成远程阅片并给出治疗建议。
4. 隐私安全增强:采用国密SM4算法对数据进行端到端加密,支持动态水印与操作日志审计,确保患者信息不被泄露。同时通过等保三级认证,符合《个人信息保护法》与《数据安全法》要求。
1. 全流程患者管理:医生可对患者进行分组标记(如“高血压随访组”“术后复查组”),设置个性化随访计划,系统自动推送复诊提醒。数据显示,使用该功能后,患者复诊率提升40%。
2. 多模态问诊支持:集成图文、语音、视频问诊功能,支持实时标注影像关键区域(如用画笔圈出骨折线),提升沟通效率。在远程会诊场景中,医生可通过屏幕共享同步讲解诊断思路。
3. 智能健康评估:基于患者历史数据(如血压、血糖、影像报告)生成动态健康曲线,结合AI模型预测疾病风险。例如,对糖尿病患者,系统可提前3个月预警视网膜病变风险。
4. 用药指导库:内置超20万种药物说明书,支持扫码识别药品包装,自动生成用药提醒(如“每日两次,餐后服用”),并标注禁忌症与相互作用。在用药错误率测试中,该功能使错误率下降65%。
5. 医脉社交生态:构建医生专属社区,支持病例讨论、学术分享与同行评价。用户可发布典型病例并邀请专家点评,累计沉淀超50万份优质病例资源。
1. 注册认证流程:医生需通过手机号注册,上传身份证、医师资格证、执业证完成实名认证,审核通过后即可使用全部功能。整个过程平均耗时8分钟,通过率99.2%。
2. 数据接入方式:支持与医院PACS系统、区域影像平台对接,自动同步患者检查报告;也可通过手动上传DICOM文件或拍照识别纸质报告进行数据录入。
3. 操作界面设计:采用“工作台+导航栏”布局,核心功能(如影像调阅、患者管理、问诊)置于首页,次要功能(如健康评估、用药指导)通过底部标签切换。界面符合《移动医疗应用设计规范》,误操作率低于0.3%。
4. 兼容性与性能:适配Android 8.0及以上系统,安装包体积19.4MB,启动时间≤1.5秒,在2G网络下仍可流畅加载影像。实测在千元机(如Redmi Note 12)上运行帧率稳定在55-60FPS。
5. 客户服务体系:提供7×24小时在线客服,支持语音、文字、视频多种沟通方式;设立“医生成长学院”,定期举办影像诊断培训、AI工具使用教程等课程。
根据第三方平台数据,微影医生2026版用户评分达9.6分(满分10分),92%的用户认为其“显著提升工作效率”。一位三甲医院放射科医生表示:“三维重建功能让复杂骨折的诊断时间从30分钟缩短至5分钟,AI标注的微小结节也避免了漏诊。”基层医生则称赞跨院协作功能:“遇到疑难病例时,能快速联系到大医院专家,患者不用再奔波求医。”部分用户建议增加“语音输入病历”功能以进一步减少手动操作,开发者已将其列入2026年Q2更新计划。整体而言,该软件凭借其专业性、易用性与安全性,成为移动医疗领域的标杆产品。



112.15MB
拍摄美化
94.52MB
拍摄美化
20.14MB
医疗健康
61.79MB
影音播放
61.79MB
影音播放
61.5M
生活实用
111.33MB
生活实用
27.78MB
主题壁纸
75.2MB
医疗健康
83.02MB
主题壁纸
23.34MB
生活实用
26.82MB
医疗健康
航小康
医疗健康
闪电减肥健身
医疗健康
体内InBody
医疗健康
开放式锻炼Openfit
医疗健康
肽PEPID
医疗健康
急诊室
医疗健康
佐克Zocdoc
医疗健康
一劳永逸
医疗健康
Fii智慧园区
医疗健康
神经系统
医疗健康
下载神经系统
医疗健康
满足您所有医疗保健需求的文字聊天和视频通话。Medici for Patient允许您在任何地方与医生,专科医生,治疗师和兽医进行短信,通话或视频聊天。无需预约。还没有医生吗?如果您的医生还没有参加远程医疗运动,请不用担心,美第奇可将您与全美经董事会认证的医务人员联系起来,他们随时准备倾听,理解,诊断和解决您的问题。如果需要,提供者可以使用Medici将处方发送到您附近的药房。它是如何工作的?美第
4.2
慢性肾病饮食管理app这是一个非常有用的食谱类型的软件,通过这个软件,你可以提供很多安全的食谱,这些食谱非常适合慢性肾病患者进行食用,不会影响患者的身体,所以你可以让你吃得更好,更放心哦。软件优势1、提供了非常不错的饮食管理服务在里面,用户实时在线快速的管理自己的饮食。2、也会非常的简洁化,及时的了解不同的饮食服务带来的简洁。3、超全的功能及时的知晓,随时查看各类管理信息也会非常的简洁和便利化。软
4.4
haifit是一款为安卓用户设计的全方位健康管理应用。它不仅提供个性化健身计划,还能记录运动数据、监控身体状况,并为用户提供营养饮食建议。通过haifit,用户可以轻松管理自己的健康生活,实现健身目标。软件亮点1.个性化健身计划:根据用户的身体状况、运动目标和
4.2
Hubfit Student应用程序的开发旨在简化您在健身房的一天。查看您的个人资料和身体评估的历史记录,访问表格并预定您在课堂上的位置,并通过数字练习表跟进您的训练等等!以离线模式阅读新闻-(离线体验)有信号时下载最新故事,然后在闲暇时阅读它们推送通知以获取最新的重要新闻报道将故事分享到您的社交网络,或通过电子邮件/短信发送给朋友
4.2
在智能时代,我们在首尔城永跆拳道开设了一个移动应用程序!我们的首尔城永跆拳道中心是一个新概念的健身房,可提供更快的健身房新闻和与其他健身房不同的教育,并侧重于个性教育,为我们的孩子提供最必要的教育,例如学校体育锻炼,肥胖管理和体操。这是父母与体育馆之间进行交流的时代。韩国有5200万人使用智能手机!这是我们健身房专用的智能手机“应用”。1.查看我们的健身设施2.季度计划视图3.查看/评论体操活动照
4.2
Openfit将您的健身、营养和社区支持放在一个应用程序中,使健康生活变得简单有趣。这是一种新的减肥方法,可以让你在家里保持身材。与现场认证的培训师一起进行现场培训,亲自指导你,让你从训练中获得最大的收获!您还可以通过流媒体访问数百个经验证的按需锻炼、一个带有每日膳食计划和跟踪的个性化营养计划、每月锻炼挑战,以及一个虚拟健身社区,帮助您保持高动力。可选择250多种跑步、barre、HIIT、举重、
4.2