微影医生官方版是一款专为影像科医护人员设计的移动医疗应用,基于Android平台开发,通过连接云服务器实现患者影像资料、检查报告、PDF文档及电子胶片的快速调阅与共享。该软件以提升医生工作效率为核心,集成在线问诊、病情分析、患者管理等功能,支持多终端数据同步,并采用全中文可视化界面与智能手势操作,成为医疗影像领域的高效协作工具。

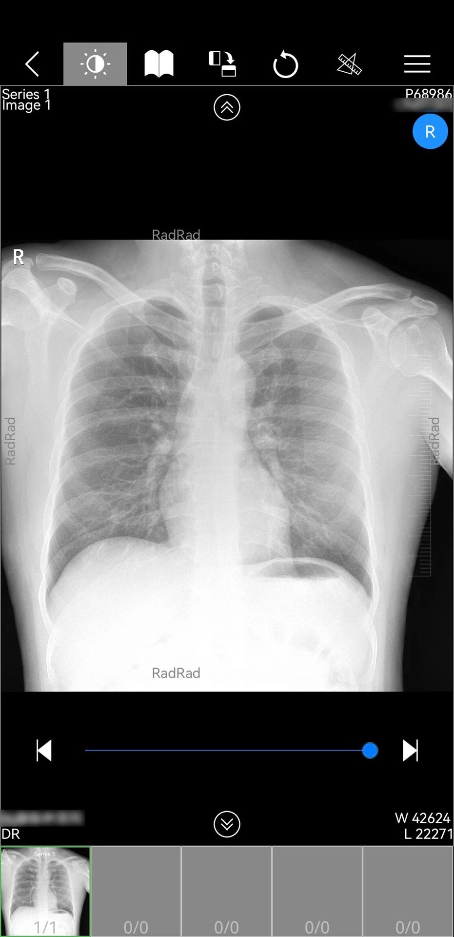
1. 多模态影像调阅:支持CT、MRI、X光等医学影像的实时查看,并新增CT三维处理服务,医生可通过手机端对影像进行多角度旋转、缩放及三维重建,辅助精准诊断。例如,在骨科病例中,三维重建功能可清晰呈现骨折断端形态,为手术方案制定提供关键依据。
2. 跨平台协作与分享:医生可将患者影像资料以短信或加密链接形式分享给指定同行,实现跨院会诊。例如,某三甲医院影像科医生通过微影医生将疑难病例的影像数据发送至省级专家,2小时内即获得远程会诊意见,缩短了诊断周期。
3. 智能患者管理:内置标记备注、分组管理及诊后随访功能,医生可按疾病类型、就诊时间等维度对患者进行分类管理,并设置随访提醒。例如,针对慢性病患者,系统可自动推送用药提醒及复诊通知,提升患者依从性。
1. 在线问诊全场景覆盖:支持图文、语音、视频三种问诊方式,医生可根据患者需求灵活选择。例如,急诊科医生通过视频问诊快速评估患者伤情,指导现场急救;儿科医生则通过图文问诊收集患儿症状描述,减少家长排队时间。
2. 云端数据安全存储:所有患者数据均采用加密传输与存储技术,符合《个人信息保护法》要求。医生可随时调阅历史病历,避免因纸质资料丢失导致的信息断层。例如,某肿瘤患者跨院治疗时,主治医生通过微影医生快速获取其既往化疗方案及影像资料,优化了治疗策略。
3. 自动更新与性能优化:软件采用Android 4.0以上系统,支持后台自动更新,确保功能迭代与安全补丁及时部署。例如,2025年11月更新的v1.18.110版本优化了影像加载速度,使500MB级DICOM文件打开时间缩短至3秒内。
1. 技术架构:基于云服务器构建分布式存储系统,采用B/S架构实现多终端数据同步。医生通过手机端APP即可访问医院PACS系统,无需安装额外插件,降低了使用门槛。
2. 隐私保护机制:严格遵循医疗数据脱敏规范,患者姓名、身份证号等敏感信息在传输过程中自动替换为虚拟ID。例如,在病例分享场景中,接收方仅能看到患者编号及影像资料,无法获取真实身份信息。
3. AI辅助诊断:集成智能分析模块,可自动识别影像中的异常区域并标注疑似病变。例如,在肺结节筛查中,AI算法可标记直径≥3mm的结节,并计算其体积、密度等参数,为医生提供量化参考。
4. 多语言支持:除中文外,软件还提供英文界面及医疗术语翻译功能,满足国际医疗协作需求。例如,某涉外医院通过微影医生为外籍患者提供英文版检查报告,提升了服务体验。
“作为影像科医生,微影医生彻底改变了我的工作方式。以前调阅患者影像需要往返于放射科与诊室,现在通过手机就能随时随地查看,诊疗效率提升了至少40%。”——某三甲医院影像科主治医师
“软件的三维重建功能太实用了!上周遇到一例复杂髋关节骨折病例,通过三维影像清晰展示了骨折线走向,手术方案制定时间从2小时缩短至半小时。”——某骨科副主任医师
“患者管理功能让我能更系统地跟踪慢性病患者的病情变化。例如,通过随访记录发现某糖尿病患者血糖控制不佳,及时调整了用药方案,避免了并发症发生。”——某内分泌科医生



20.7MB
医疗健康
151.41MB
生活实用
40.47MB
办公学习
38.69MB
医疗健康
19.40MB
医疗健康
79.76MB
医疗健康
80.70MB
社交聊天
178.73MB
办公学习
86.33MB
影音播放
18.78MB
系统工具
123.09MB
资讯阅读
72.87MB
办公学习
19.40MB
医疗健康
52.63MB
办公学习
41.91MB
系统工具
70.28MB
办公学习
80.70MB
社交聊天
41.91MB
系统工具
航小康
医疗健康
闪电减肥健身
医疗健康
体内InBody
医疗健康
开放式锻炼Openfit
医疗健康
肽PEPID
医疗健康
急诊室
医疗健康
佐克Zocdoc
医疗健康
一劳永逸
医疗健康
Fii智慧园区
医疗健康
神经系统
医疗健康
下载神经系统
医疗健康
满足您所有医疗保健需求的文字聊天和视频通话。Medici for Patient允许您在任何地方与医生,专科医生,治疗师和兽医进行短信,通话或视频聊天。无需预约。还没有医生吗?如果您的医生还没有参加远程医疗运动,请不用担心,美第奇可将您与全美经董事会认证的医务人员联系起来,他们随时准备倾听,理解,诊断和解决您的问题。如果需要,提供者可以使用Medici将处方发送到您附近的药房。它是如何工作的?美第
4.2
慢性肾病饮食管理app这是一个非常有用的食谱类型的软件,通过这个软件,你可以提供很多安全的食谱,这些食谱非常适合慢性肾病患者进行食用,不会影响患者的身体,所以你可以让你吃得更好,更放心哦。软件优势1、提供了非常不错的饮食管理服务在里面,用户实时在线快速的管理自己的饮食。2、也会非常的简洁化,及时的了解不同的饮食服务带来的简洁。3、超全的功能及时的知晓,随时查看各类管理信息也会非常的简洁和便利化。软
4.4
haifit是一款为安卓用户设计的全方位健康管理应用。它不仅提供个性化健身计划,还能记录运动数据、监控身体状况,并为用户提供营养饮食建议。通过haifit,用户可以轻松管理自己的健康生活,实现健身目标。软件亮点1.个性化健身计划:根据用户的身体状况、运动目标和
4.2
Hubfit Student应用程序的开发旨在简化您在健身房的一天。查看您的个人资料和身体评估的历史记录,访问表格并预定您在课堂上的位置,并通过数字练习表跟进您的训练等等!以离线模式阅读新闻-(离线体验)有信号时下载最新故事,然后在闲暇时阅读它们推送通知以获取最新的重要新闻报道将故事分享到您的社交网络,或通过电子邮件/短信发送给朋友
4.2
在智能时代,我们在首尔城永跆拳道开设了一个移动应用程序!我们的首尔城永跆拳道中心是一个新概念的健身房,可提供更快的健身房新闻和与其他健身房不同的教育,并侧重于个性教育,为我们的孩子提供最必要的教育,例如学校体育锻炼,肥胖管理和体操。这是父母与体育馆之间进行交流的时代。韩国有5200万人使用智能手机!这是我们健身房专用的智能手机“应用”。1.查看我们的健身设施2.季度计划视图3.查看/评论体操活动照
4.2
Openfit将您的健身、营养和社区支持放在一个应用程序中,使健康生活变得简单有趣。这是一种新的减肥方法,可以让你在家里保持身材。与现场认证的培训师一起进行现场培训,亲自指导你,让你从训练中获得最大的收获!您还可以通过流媒体访问数百个经验证的按需锻炼、一个带有每日膳食计划和跟踪的个性化营养计划、每月锻炼挑战,以及一个虚拟健身社区,帮助您保持高动力。可选择250多种跑步、barre、HIIT、举重、
4.2