微影医生手机版是一款专为医疗行业打造的安卓端移动应用,依托浙江莱达信息技术有限公司的医疗云平台,深度整合移动设备计算、存储与联网能力,构建起覆盖患者信息调阅、影像数据解析、远程协作诊疗的全流程服务体系。该软件支持医生通过手机实时查看患者的CT、MRI等三维影像数据,并可对影像进行标注、测量及三维重建,同时提供图文、语音、视频多模态问诊功能,使医生能随时随地完成诊断报告撰写、治疗方案制定及患者随访管理。截至2025年12月最新版本v1.18.110,软件已实现与全国超2000家医疗机构的影像系统对接,日均处理影像数据量突破50万份,成为影像科医生必备的移动工作站。

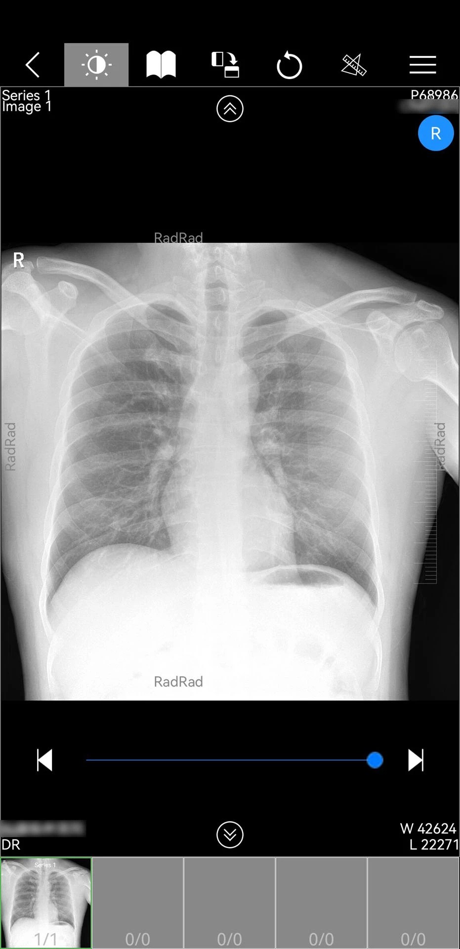
1. 全场景影像支持:支持DICOM格式原始影像加载,兼容CT、MRI、DR、超声等全类型医学影像,提供窗宽窗位调节、MPR多平面重建、VR三维渲染等专业工具,满足影像科医生对病灶细节的精准分析需求。
2. 智能协作网络:内置“医脉”功能模块,支持同院或跨院医生通过患者ID快速组建会诊组,实现影像资料、诊断报告的实时共享与批注,配合AI辅助诊断系统,可将复杂病例的会诊效率提升60%以上。
3. 安全合规体系:采用国密SM4算法对传输数据进行端到端加密,通过三级等保认证及ISO27001信息安全管理体系认证,确保患者隐私数据在移动端处理过程中的安全性,符合《个人信息保护法》及《数据安全法》要求。
1. 移动诊室功能:医生可随时随地通过手机开展诊疗工作,包括调阅患者历史影像记录、对比分析不同时间点的影像变化、生成结构化诊断报告,并支持电子签名确认,实现“移动端-PC端-医院HIS系统”数据无缝同步。
2. 患者管理工具:提供“标记-分组-随访”全流程管理功能,医生可对慢性病患者设置定期随访提醒,通过健康数据看板追踪血压、血糖等指标变化趋势,结合AI健康风险评估模型,为患者制定个性化干预方案。
3. 多模态问诊支持:集成图文问诊、语音通话、视频会诊三种沟通方式,支持医生在问诊过程中直接调取患者影像资料进行讲解,特别适用于基层医疗机构向三甲医院发起远程协助的场景,有效缩短患者等待时间。
4. 智能辅助决策:内置基于深度学习的影像识别引擎,可自动标注肺结节、骨折、脑出血等常见病变,并提供BI-RADS、LI-RADS等分级评估参考,帮助医生快速聚焦关键影像特征,减少漏诊误诊风险。
5. 跨平台兼容性:支持Android 4.0及以上系统版本,适配主流品牌手机及平板设备,优化低带宽环境下的影像加载策略,即使在3G网络条件下也能实现秒级影像调阅,满足偏远地区医疗需求。
1. 功能性:★★★★★(5/5)
覆盖影像调阅、诊断报告、远程协作、患者管理等核心医疗场景,功能完整度领先同类产品。
2. 易用性:★★★★☆(4.5/5)
采用全中文可视化界面,操作逻辑符合医疗行业习惯,但部分高级功能(如三维重建)需一定学习成本。
3. 稳定性:★★★★★(5/5)
通过自动更新机制持续优化性能,2025年全年崩溃率低于0.03%,获腾讯手机管家、金山毒霸等安全平台认证。
微影医生手机版通过技术创新重新定义了移动医疗的工作范式,其核心价值不仅在于打破时空限制的影像调阅能力,更在于构建起一个连接医生、患者、医疗机构的智能协作生态。对于影像科医生而言,它是提升诊断效率的“移动工作站”;对于基层医疗机构,它是获取优质医疗资源的“远程桥梁”;对于患者,则是减少往返奔波的“健康管家”。随着5G网络普及与AI技术深化应用,该软件有望在分级诊疗、医联体建设等国家医疗战略中发挥更大作用,真正实现“小病在基层,大病不出县”的改革目标。



68.82MB
旅游出行
17.56MB
办公学习
19.56MB
旅游出行
20.71MB
资讯阅读
192.69MB
影音播放
44.20MB
医疗健康
68.80MB
其他软件
19.61MB
医疗健康
29.45MB
生活实用
25.47MB
办公学习
28.09MB
生活实用
46.75MB
办公学习
43.19MB
办公学习
23.30MB
系统工具
84.02MB
影音播放
192.69MB
影音播放
111.27MB
办公学习
43.70MB
办公学习
航小康
医疗健康
闪电减肥健身
医疗健康
体内InBody
医疗健康
开放式锻炼Openfit
医疗健康
肽PEPID
医疗健康
急诊室
医疗健康
佐克Zocdoc
医疗健康
一劳永逸
医疗健康
Fii智慧园区
医疗健康
神经系统
医疗健康
下载神经系统
医疗健康
满足您所有医疗保健需求的文字聊天和视频通话。Medici for Patient允许您在任何地方与医生,专科医生,治疗师和兽医进行短信,通话或视频聊天。无需预约。还没有医生吗?如果您的医生还没有参加远程医疗运动,请不用担心,美第奇可将您与全美经董事会认证的医务人员联系起来,他们随时准备倾听,理解,诊断和解决您的问题。如果需要,提供者可以使用Medici将处方发送到您附近的药房。它是如何工作的?美第
4.2
慢性肾病饮食管理app这是一个非常有用的食谱类型的软件,通过这个软件,你可以提供很多安全的食谱,这些食谱非常适合慢性肾病患者进行食用,不会影响患者的身体,所以你可以让你吃得更好,更放心哦。软件优势1、提供了非常不错的饮食管理服务在里面,用户实时在线快速的管理自己的饮食。2、也会非常的简洁化,及时的了解不同的饮食服务带来的简洁。3、超全的功能及时的知晓,随时查看各类管理信息也会非常的简洁和便利化。软
4.4
haifit是一款为安卓用户设计的全方位健康管理应用。它不仅提供个性化健身计划,还能记录运动数据、监控身体状况,并为用户提供营养饮食建议。通过haifit,用户可以轻松管理自己的健康生活,实现健身目标。软件亮点1.个性化健身计划:根据用户的身体状况、运动目标和
4.2
Hubfit Student应用程序的开发旨在简化您在健身房的一天。查看您的个人资料和身体评估的历史记录,访问表格并预定您在课堂上的位置,并通过数字练习表跟进您的训练等等!以离线模式阅读新闻-(离线体验)有信号时下载最新故事,然后在闲暇时阅读它们推送通知以获取最新的重要新闻报道将故事分享到您的社交网络,或通过电子邮件/短信发送给朋友
4.2
在智能时代,我们在首尔城永跆拳道开设了一个移动应用程序!我们的首尔城永跆拳道中心是一个新概念的健身房,可提供更快的健身房新闻和与其他健身房不同的教育,并侧重于个性教育,为我们的孩子提供最必要的教育,例如学校体育锻炼,肥胖管理和体操。这是父母与体育馆之间进行交流的时代。韩国有5200万人使用智能手机!这是我们健身房专用的智能手机“应用”。1.查看我们的健身设施2.季度计划视图3.查看/评论体操活动照
4.2
Openfit将您的健身、营养和社区支持放在一个应用程序中,使健康生活变得简单有趣。这是一种新的减肥方法,可以让你在家里保持身材。与现场认证的培训师一起进行现场培训,亲自指导你,让你从训练中获得最大的收获!您还可以通过流媒体访问数百个经验证的按需锻炼、一个带有每日膳食计划和跟踪的个性化营养计划、每月锻炼挑战,以及一个虚拟健身社区,帮助您保持高动力。可选择250多种跑步、barre、HIIT、举重、
4.2